



A.骨巨细胞瘤
B.纤维肉瘤
C.骨肉瘤
D.软骨肉瘤
E.软骨黏液纤维瘤
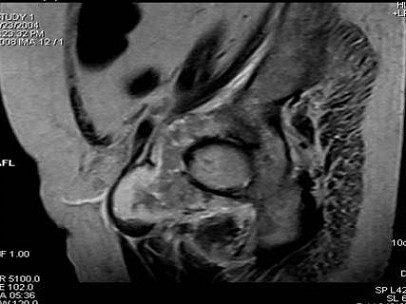
[单选题]患者,男,38岁,左髋部疼痛,并逐渐加重,体检:左髋部明显肿胀压痛,无明显发热,结合所提供的图片,最可能的诊断是A.骨巨细胞瘤B.纤维肉瘤C.骨肉瘤D
[单选题]患者,男,38岁,左髋部疼痛,并逐渐加重,体检:左髋部明显肿胀压痛,无明显发热,结合所提供的图片,最可能的诊断是A.骨巨细胞瘤B.纤维肉瘤C.骨肉瘤D
[单选题]患者,男,38岁,左髋部疼痛,并逐渐加重,体检:左髋部明显肿胀压痛,无明显发热,结合所提供的图片,最可能的诊断是()A .骨巨细胞瘤B .纤维肉瘤C .骨肉瘤D .软骨肉瘤E .软骨黏液纤维瘤
[单选题]患者,男,38岁,左髋部疼痛,并逐渐加重,体检:左髋部明显肿胀压痛,无明显发热,结合所提供的图片,最可能的诊断是()A . 骨巨细胞瘤B . 纤维肉瘤C . 骨肉瘤D . 软骨肉瘤E . 软骨黏液纤维瘤
[单选题]男,26岁,感觉左季肋部疼痛,并逐渐加重,无明显发热,体检左肋部明显肿胀、压痛,结合所提供的图像,最可能的诊断是()A . 软骨黏液纤维瘤B . 软骨肉瘤C . 骨肉瘤D . 纤维肉瘤E . 骨巨细胞瘤
[单选题]男,26岁,左髋部疼痛,局部肿胀,无发热,结合图像,最可能的诊断是()A.动脉瘤样骨囊肿B.骨巨细胞瘤C.尤文肉瘤D.骨肉瘤E.骨囊肿
[单选题]男,6岁,左髋部疼痛、乏力、跛行,请结合MRI检查,选出最可能的诊断()A.髋关节结核B.股骨头骨骺缺血坏死C.骨肉瘤D.骨囊肿E.软骨肉瘤
[单选题]男,56岁,肺癌术后2年余,左髋部疼痛,夜间加重,结合图像,最可能的诊断是()A.骨肉瘤B.骨转移C.多发性骨髓瘤D.骨软骨瘤E.软骨肉瘤
[单选题]患者,男,33岁,左股骨肿块半年余,无明显症状,查体一般情况良好,请结合所提供的图像,选择最佳选项()A.骨巨细胞瘤B.骨囊肿C.纤维异常增殖症D.动
[单选题]男,56岁,因左髋关节疼痛、无外伤史,体检左髋关节稍肿胀,请结合所提供图像,选择最佳选项()A.左髋关节滑膜骨软骨瘤病B.左髋关节退行性改变C.左髋关