
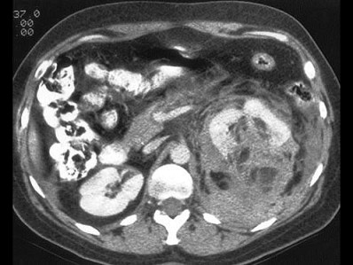
A.左肾癌
B.左肾脂肪瘤
C.左肾脂肪肉瘤
D.左肾脓肿
E.左肾血管平滑肌脂肪瘤
[单选题]男2岁,左侧胸痛、气促,如图所示,最可能的诊断为()A.左肺肺不张B.左侧胸腔积液C.左侧胸膜肥厚D.右肺肺气肿E.以上都不正确
[单选题]肾绞痛发作,伴镜下血尿,多见于()A.结石B.结核C.肿瘤D.肾积水E.梗阻
[多选题]星形细胞瘤(如图所示)的特点()A.最常见的颅内胶质瘤B.多见于大脑半球,界限清楚C.中青年多见D.儿童以小脑半球多发E.实质性肿瘤手术切除可以根治
[单选题]女,41岁,慢性肾功能不全,结合图像,最可能的诊断是()A.白血病B.甲状旁腺功能亢进C.地中海贫血D.镰状细胞贫血E.骨关节结核
[单选题]男,59岁,右侧腰背酸痛,CT检查如图所示,应诊断为()A.右肾上腺腺瘤B.右肾上腺转移瘤C.右肾上腺髓样脂肪瘤D.右腹膜后脂肪瘤E.右肾血管平滑肌脂
[单选题]男,59岁,右侧腰背酸痛,CT检查如图所示,应诊断为()A.右肾上腺腺瘤B.右肾上腺转移瘤C.右肾上腺髓样脂肪瘤D.右腹膜后脂肪瘤E.右肾血管平滑肌脂
[单选题]如图箭头所示为大脑哪个部位()A.前连合B.透明隔C.室间孔D.穹窿E.中脑导水管
[单选题]如图箭头所示为大脑哪个部位()A.壳核B.颞叶C.尾状核D.岛叶E.海马
[单选题]如图箭头所示为大脑哪个部位()A.前连合B.后连合C.室间孔D.穹窿E.中脑导水管
[单选题]如图箭头所示为大脑哪个部位()A.顶叶B.枕叶C.小脑D.脑干E.额叶