



A.脊椎结核
B.脊椎转移瘤
C.化脓性脊柱炎
D.椎体压缩骨折
E.脊椎退行性变
[单选题]女,47岁,背痛半月余,2个月前被诊断为乳腺癌肝转移,选出最可能的诊断()A .脊椎结核B .脊椎转移瘤C .化脓性脊柱炎D .椎体压缩骨折E .脊椎退行性变
[单选题]男,53岁,高热,寒战,背痛半月余,请结合影像学检查选出最可能的诊断()A.脊柱转移瘤B.脊柱骨髓炎C.脊柱结核D.强直性脊柱炎E.椎体压缩骨折
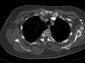
[单选题]女,34岁,咳嗽,咯血半月余,请结合影像学检查,选出最可能的诊断()A.纵隔畸胎瘤B.淋巴瘤C.胸腺瘤D.神经源性肿瘤E.肺癌
[单选题]女,67岁,突发右侧背痛半月余,请结合影像学检查,选择最可能的诊断()A.化脓性脊柱炎B.椎体压缩骨折C.脊柱转移瘤D.脊椎结核E.强直性脊柱炎
[单选题]女,34岁,发热,背部疼痛1个月余,请结合影像学检查,选出最可能的诊断()A.椎体压缩骨折B.脊椎结核C.骨髓炎D.脊椎转移瘤E.骨髓瘤
[单选题]男,64岁,发热,腰部疼痛半月余,请结合影像学检查,选出最可能的诊断()A.脊椎结核B.椎体压缩性骨折C.脊椎转移瘤D.脊椎骨髓瘤E.脊椎骨髓炎
[单选题]患者男,32岁,干咳,呼吸困难半月余,2个月前被诊断为艾滋病,结合影像学检查,最可能的诊断是A.肺结核B.卡氏肺囊虫性肺炎C.肺癌D.大叶性肺炎E.间
[单选题]男,22岁,左侧膝部肿胀,疼痛2个月余,请结合影像学检查,选出最可能的诊断()A.骨脓肿B.骨肉瘤C.骨髓炎D.动脉瘤样骨囊肿E.软骨肉瘤
[单选题]女,19岁,跛行19年,请结合影像学检查,选出最可能的诊断()A.先天性髋关节脱位B.先天性髋内翻C.骨盆骨折D.髋臼骨折E.股骨头缺血坏死
[单选题]女,34岁,咳嗽,咯血半月余,请结合影像学检查,选出最可能的诊断()A.纵隔畸胎瘤B.淋巴瘤C.胸腺瘤D.神经源性肿瘤E.肺癌