


A.跗舟骨缺血坏死
B.跗舟骨骨折
C.成骨不全
D.软骨发育不全
E.剥脱性骨软骨炎
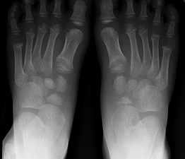
[单选题]男,5岁,足背肿痛,请结合图像,选出最可能的诊断 ( )A.跗舟骨缺血坏死B.跗舟骨骨折C.成骨不全D.软骨发育不全E.剥脱性骨软骨炎
[单选题]男,28岁,踝部肿痛,结合图像,最可能的诊断是().A.未见异常B.跟骨骨髓炎C.踝关节滑膜炎D.跟骨结核E.踝关节类风湿关节炎
[单选题]男,5岁,足背肿痛,结合图像,最可能的诊断是()A.跗舟骨缺血坏死B.跗舟骨骨折C.成骨不全D.软骨发育不全E.剥脱性骨软骨炎
[单选题]结合所示图像,最可能的诊断是()A.肾梗死B.肾结石C.腹主动脉瘤累及肾动脉D.阻塞E.以上都不是
[单选题]有外伤史,结合图像,最可能诊断是()A.Smith骨折B.尺骨骨折C.未见异常D.Colles骨折E.腕关节脱位
[单选题]女,50岁,手指关节肿痛,晨僵,结合图像,最可能诊断是()A.关节结核B.牛皮癣性关节炎C.痛风性关节炎D.类风湿关节炎E.Reiter综合征
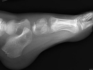
[单选题]男,21岁,左跟骨肿胀疼痛,结合图像,最可能的诊断是()A.骨囊肿B.动脉瘤样骨囊肿C.骨巨细胞瘤D.骨样骨瘤E.骨肉瘤
[单选题]男,50岁,腰背痛,请结合图像,选出最可能的诊断()A.椎体融合B.L隐性脊椎裂C.移行椎D.L椎弓峡部不连及L滑脱E.L~S椎间盘突出
[单选题]女,34岁,双侧髋部疼痛,结合图像,最可能的诊断是()A.未见异常B.类风湿关节炎C.髋关节退行性变D.股骨头缺血坏死E.痛风
[单选题]男,2岁,关节浮肿,请结合图像,选出最可能的诊断 ( )A.肾性骨病B.MPSC.维生素D缺乏症D.维生素C缺乏症E.维生素D过多症