[单选题]

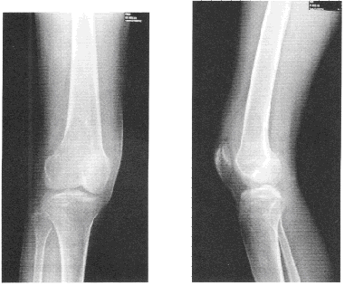
患者男,24岁。右膝疼痛3个月。患者3个月前无明显诱因出现右膝部疼痛,1个月前疼痛加重,伴膝关节外侧肿胀。拍片示股骨下端骨破坏。无发热等全身症状,既往无外伤史。查体:右膝关节外侧轻度肿胀,皮肤不红,压痛明显,膝关节活动正常。血常规和血生化检查正常。右膝关节X线平片正侧位片,如图。

 首先考虑的诊断是()

A.骨肉瘤

B.骨巨细胞瘤

C.动脉瘤样骨囊肿

D.单纯性骨囊肿

E.尤文肉瘤

参考答案与解析:

相关试题

患者男,24岁。右膝疼痛3个月。患者3个月前无明显诱因出现右膝部疼痛,1个月前疼痛加重,伴膝关节外侧肿胀。拍片示股骨下端骨破坏。无发热等全身症状,既往无外伤史。查体:右膝关节外侧轻度肿胀,皮肤不红,压

[多选题]患者男,24岁。右膝疼痛3个月。患者3个月前无明显诱因出现右膝部疼痛,1个月前疼痛加重,伴膝关节外侧肿胀。拍片示股骨下端骨破坏。无发热等全身症状,既往

  • 查看答案
  • 患者男,24岁。右膝疼痛3个月。患者3个月前无明显诱因出现右膝部疼痛,1个月前疼痛加重,伴膝关节外侧肿胀。拍片示股骨下端骨破坏。无发热等全身症状,既往无外伤史。查体:右膝关节外侧轻度肿胀,皮肤不红,压

    [单选题]患者男,24岁。右膝疼痛3个月。患者3个月前无明显诱因出现右膝部疼痛,1个月前疼痛加重,伴膝关节外侧肿胀。拍片示股骨下端骨破坏。无发热等全身症状,既往

  • 查看答案
  • 患者男,24岁。右膝疼痛3个月。患者3个月前无明显诱因出现右膝部疼痛,1个月前疼痛加重,伴膝关节外侧肿胀。拍片示股骨下端骨破坏。无发热等全身症状,既往无外伤史。查体:右膝关节外侧轻度肿胀,皮肤不红,压

    [单选题]患者男,24岁。右膝疼痛3个月。患者3个月前无明显诱因出现右膝部疼痛,1个月前疼痛加重,伴膝关节外侧肿胀。拍片示股骨下端骨破坏。无发热等全身症状,既往

  • 查看答案
  • 患者男,24岁。右膝疼痛3个月。患者3个月前无明显诱因出现右膝部疼痛,1个月前疼痛加重,伴膝关节外侧肿胀。拍片示股骨下端骨破坏。无发热等全身症状,既往无外伤史。查体:右膝关节外侧轻度肿胀,皮肤不红,压

    [单选题]患者男,24岁。右膝疼痛3个月。患者3个月前无明显诱因出现右膝部疼痛,1个月前疼痛加重,伴膝关节外侧肿胀。拍片示股骨下端骨破坏。无发热等全身症状,既往

  • 查看答案
  • 患者男,24岁。右膝疼痛3个月。患者3个月前无明显诱因出现右膝部疼痛,1个月前疼痛加重,伴膝关节外侧肿胀。拍片示股骨下端骨破坏。无发热等全身症状,既往无外伤史。查体:右膝关节外侧轻度肿胀,皮肤不红,压

    [多选题]患者男,24岁。右膝疼痛3个月。患者3个月前无明显诱因出现右膝部疼痛,1个月前疼痛加重,伴膝关节外侧肿胀。拍片示股骨下端骨破坏。无发热等全身症状,既往

  • 查看答案
  • 患者男,24岁。右膝疼痛3个月。患者3个月前无明显诱因出现右膝部疼痛,1个月前疼痛加重,伴膝关节外侧肿胀。拍片示股骨下端骨破坏。无发热等全身症状,既往无外伤史。查体:右膝关节外侧轻度肿胀,皮肤不红,压

    [单选题]患者男,24岁。右膝疼痛3个月。患者3个月前无明显诱因出现右膝部疼痛,1个月前疼痛加重,伴膝关节外侧肿胀。拍片示股骨下端骨破坏。无发热等全身症状,既往

  • 查看答案
  • 患者男,24岁。右膝疼痛3个月。患者3个月前无明显诱因出现右膝部疼痛,1个月前疼痛加重,伴膝关节外侧肿胀。拍片示股骨下端骨破坏。无发热等全身症状,既往无外伤史。查体:右膝关节外侧轻度肿胀,皮肤不红,压

    [单选题]患者男,24岁。右膝疼痛3个月。患者3个月前无明显诱因出现右膝部疼痛,1个月前疼痛加重,伴膝关节外侧肿胀。拍片示股骨下端骨破坏。无发热等全身症状,既往

  • 查看答案
  • 男性,30岁,5个月前曾扭伤右膝关节,之后右膝关节内侧疼痛,肿胀逐渐加重,4个月

    [单选题]男性,30岁,5个月前曾扭伤右膝关节,之后右膝关节内侧疼痛,肿胀逐渐加重,4个月前曾于外院摄X线片,见右胫骨上端内侧有一5cm×5cm大小透光区,中间有肥皂泡沫阴影,骨端膨大,近1个月来肿胀明显加重,夜间疼痛难忍,右膝关节活动受限,入院后右下肢X线片示胫骨上端病变扩大,肥皂泡沫阴影消失,呈云雾状阴影,骨皮质已被穿破并伴软组织肿块侵入。最可能的诊断是()A .骨肉瘤B .骨软骨瘤恶变C .骨囊肿恶变D . D.骨纤维瘤恶变E .骨巨细胞瘤恶变

  • 查看答案
  • 患者男,17岁,学生。右膝疼痛、肿胀2个月。患者2个月前无明显诱因出现右膝部疼痛、肿胀。自行按摩、热敷治疗无效,疼痛逐渐加重。无发热等全身症状,既往无外伤史。查体:右小腿上段前侧肿胀,未见静脉曲张,有

    [多选题]患者男,17岁,学生。右膝疼痛、肿胀2个月。患者2个月前无明显诱因出现右膝部疼痛、肿胀。自行按摩、热敷治疗无效,疼痛逐渐加重。无发热等全身症状,既往无

  • 查看答案
  • 患者男,17岁,学生。右膝疼痛、肿胀2个月。患者2个月前无明显诱因出现右膝部疼痛、肿胀。自行按摩、热敷治疗无效,疼痛逐渐加重。无发热等全身症状,既往无外伤史。查体:右小腿上段前侧肿胀,未见静脉曲张,有

    [多选题]患者男,17岁,学生。右膝疼痛、肿胀2个月。患者2个月前无明显诱因出现右膝部疼痛、肿胀。自行按摩、热敷治疗无效,疼痛逐渐加重。无发热等全身症状,既往无

  • 查看答案
  • 患者男,24岁。右膝疼痛3个月。患者3个月前无明显诱因出现右膝部疼痛,1个月前疼痛加重,伴膝关节外侧肿胀。拍片示股骨下端骨破坏。无发热等全身症状,既往无外伤史。查体:右膝关节外侧轻度肿胀,皮肤不红,压