



A.继发性胆脂瘤
B.脑膜瘤
C.三叉神经瘤
D.原发性胆脂瘤
E.听神经瘤
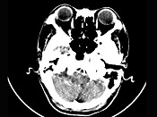
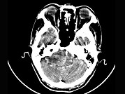
[单选题]女,45岁,右耳听力下降半年余,CT检查如图,最可能诊断为()A.继发性胆脂瘤B.脑膜瘤C.三叉神经瘤D.原发性胆脂瘤E.听神经瘤
[单选题]女,45岁,右耳听力下降半年余,CT检查如图,最可能的诊断是()A.继发性胆脂瘤B.脑膜瘤C.三叉神经瘤D.原发性胆脂瘤E.听神经瘤
[单选题]女,45岁,右耳听力下降半年余,CT检查如图,最可能的诊断是A.继发性胆脂瘤B.脑膜瘤C.三叉神经瘤D.原发性胆脂瘤E.听神经瘤
[单选题]女,45岁,右耳听力下降半年余,CT检查如图,最可能的诊断是A.继发性胆脂瘤B.脑膜瘤C.三叉神经瘤D.原发性胆脂瘤E.听神经瘤
[单选题]女,45岁,右耳听力下降半年余,CT检查如图,最可能的诊断是A.继发性胆脂瘤B.脑膜瘤C.三叉神经瘤D.原发性胆脂瘤E.听神经瘤
[单选题]女,45岁,右耳听力下降半年余,CT检查如图,最可能的诊断是()A.继发性胆脂瘤B.脑膜瘤C.三叉神经瘤D.原发性胆脂瘤E.听神经瘤
[单选题]患者70岁,女性,背痛,如图所示,最可能诊断为()A.转移B.骨髓瘤C.疲劳骨折D.骨质疏松症E.以上都不是
[单选题]女,45岁,右耳听力下降半年余,CT检查如图,最可能的诊断是( )。A.继发性胆脂瘤B.脑膜瘤C.三叉神经瘤D.原发性胆脂瘤E.听神经瘤
[单选题]根据所提供图像,最可能的诊断是()A.骨折B.舟骨不连C.骨髓炎D.骨转移E.以上都不是
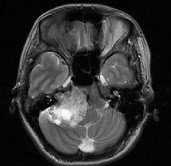
[单选题]女,18岁,平扫CT检查如图,最可能的诊断为A.脑裂畸形B.脑梗死C.脑炎D.蛛网膜囊肿E.脑积水