A . [' 巨检及镜下如图所示:位于宫颈壁深层8mm处见分化好的、外形扭曲的腺体,无间质反应。结合临床病史与病理,你认为最有可能的诊断为() B . C .


参考答案与解析:
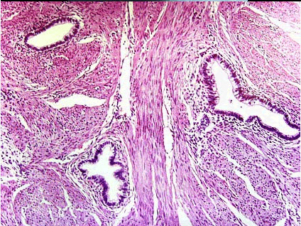
[单选题,A4型题,A3/A4型题] 女性,32岁,阴道不规则出血。检查宫颈肥大伴糜烂,细胞涂片(-)。A . 巨检及镜下如图所示:位于宫颈壁深层8mm处见分化好的、外形扭曲的腺体,无间质反应。结合临床病史与病理,你认为最有可能的诊断为()B .
[单选题,案例分析题] 女性,32岁,阴道不规则出血。检查宫颈肥大伴糜烂,细胞涂片(-)。该病变在鉴别诊断中有意义的免疫组化检查是()A .P53B . VimC . CEAD . CKE . Ki-67
[单选题,A4型题,A3/A4型题] 女性,32岁,阴道不规则出血。检查宫颈肥大伴糜烂,细胞涂片(-)。该病变在鉴别诊断中有意义的免疫组化检查是()A .P53B .VimC .CEAD .CKE .Ki-67
[单选题]女性,32岁,阴道不规则出血。检查宫颈肥大伴糜烂,细胞涂片(-)。该病变在鉴别诊断中有意义的免疫组化检查是()A.P53B.VimC.CEAD.CKE
[单选题]女性,32岁,阴道不规则出血。检查宫颈肥大伴糜烂,细胞涂片(-)。该病变在鉴别诊断中有意义的免疫组化检查是()A.P53B.VimC.CEAD.CKE
[单选题]女性,32岁,阴道不规则出血。检查宫颈肥大伴糜烂,细胞涂片(-)。巨检及镜下如图所示:位于宫颈壁深层8mm处见分化好的、外形扭曲的腺体,无间质反应。结
[单选题]女性,32岁,阴道不规则出血。检查宫颈肥大伴糜烂,细胞涂片(-)。巨检及镜下如图所示:位于宫颈壁深层8mm处见分化好的、外形扭曲的腺体,无间质反应。结
[单选题]患者45岁。阴道不规则出血1年就诊。妇科检查:阴道穹后部消失,宫颈重度糜烂。子宫稍大,固定。双侧附件增厚未达盆壁,宫颈活动检为宫颈鳞状细胞癌,其临床分期是()A . Ⅰb期B . Ⅱa期C . Ⅱb期D . Ⅲa期E . Ⅲb期
[单选题]42岁妇女,G4P1,阴道不规则少量出血3个月。检查宫颈肥大,下唇有糜烂,表面粗糙,质地硬,触血(十),穹窿软,子宫常大,左宫旁组织增厚而硬,宫颈活检为鳞状上皮癌。其分期为A.宫颈癌Ⅱa期B.宫颈癌Ⅱb期C.宫颈癌Ⅲa期D.宫颈癌Ⅲb期E.宫颈癌Ⅳa期
[单选题]女性,28岁,阴道不规则出血2个月,GPAL。查体:宫颈糜烂样改变,余无特殊。活检病理报告:宫颈鳞癌,癌细胞泪滴样穿透基底膜,深度3mm,宽度7mm,患者要求尽量保留生育能力,恰当的治疗方法应是()A . 激光治疗B . 微波治疗C . LEEP小型锥切D . 宫颈锥形切除术E . 单纯宫颈切除+体外放疗