

A.宫颈慢性炎
B.宫颈内膜异位
C.分叶状宫颈内膜腺体增生
D.宫颈内膜性肌腺瘤
E.宫颈偏位腺癌
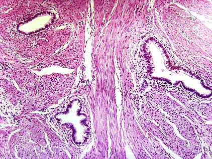
[单选题]女性,32岁,阴道不规则出血。检查宫颈肥大伴糜烂,细胞涂片(-)。巨检及镜下如图所示:位于宫颈壁深层8mm处见分化好的、外形扭曲的腺体,无间质反应。结
[单选题,案例分析题] 女性,32岁,阴道不规则出血。检查宫颈肥大伴糜烂,细胞涂片(-)。A . ['巨检及镜下如图所示:位于宫颈壁深层8mm处见分化好的、外形扭曲的腺体,无间质反应。结合临床病史与病理,你认为最有可能的诊断为()B . C .
[单选题,A4型题,A3/A4型题] 女性,32岁,阴道不规则出血。检查宫颈肥大伴糜烂,细胞涂片(-)。A . 巨检及镜下如图所示:位于宫颈壁深层8mm处见分化好的、外形扭曲的腺体,无间质反应。结合临床病史与病理,你认为最有可能的诊断为()B .
[单选题,案例分析题] 女性,32岁,阴道不规则出血。检查宫颈肥大伴糜烂,细胞涂片(-)。该病变在鉴别诊断中有意义的免疫组化检查是()A .P53B . VimC . CEAD . CKE . Ki-67
[单选题,A4型题,A3/A4型题] 女性,32岁,阴道不规则出血。检查宫颈肥大伴糜烂,细胞涂片(-)。该病变在鉴别诊断中有意义的免疫组化检查是()A .P53B .VimC .CEAD .CKE .Ki-67
[单选题]女性,32岁,阴道不规则出血。检查宫颈肥大伴糜烂,细胞涂片(-)。该病变在鉴别诊断中有意义的免疫组化检查是()A.P53B.VimC.CEAD.CKE
[单选题]女性,32岁,阴道不规则出血。检查宫颈肥大伴糜烂,细胞涂片(-)。该病变在鉴别诊断中有意义的免疫组化检查是()A.P53B.VimC.CEAD.CKE
[单选题]患者,女,30岁,诉阴道分泌物增多。妇检见宫颈糜烂、肥大,宫颈活检镜下如图所示,则可能的诊断是()A . CINⅡ级B . 慢性宫颈炎伴腺体鳞化C . CINⅢ级D . 宫颈原位癌E . 宫颈鳞状细胞癌伴早期浸润
[单选题]患者,女,30岁,诉阴道分泌物增多。妇检见宫颈糜烂、肥大,宫颈活检镜下如图所示,则可能的诊断是()A.CINⅡ级B.慢性宫颈炎伴腺体鳞化C.CINⅢ级
[单选题]女性,41岁。阴道排液及接触性出血3个月,妇科检查:宫颈轻度糜烂,宫体前位,大小、质地正常,活动好,双附件(-)。宫颈涂片Ⅱb,阴道镜下宫颈活检为宫颈