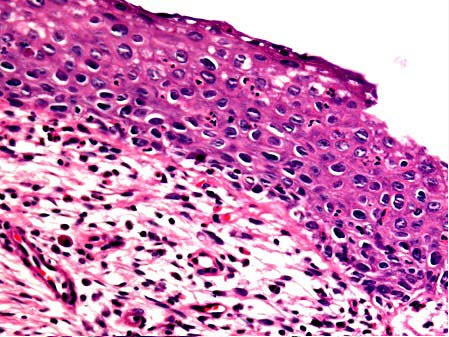
女性,34岁,接触性出血一年余加重一周,行子宫切除,显微镜下见鳞状上皮细胞具异型性,异型细胞超过上皮全层2/3,但不及3/3。如图,应诊断为()


A . CINⅠ级
B . CINⅡ级
C . CINⅢ级
D . 原位癌
E . 浸润癌
[单选题]女性,32岁,体检取子宫颈活检,见鳞状上皮细胞轻度异型,异型细胞局限于上皮层下1/3,局灶区近表皮见挖空样细胞,核分裂不易见到,HPV6/11(+)。如图,应诊断为()A . CINⅠ级B . CINⅡ级C . CINⅢ级D . 原位癌E . 浸润癌
[单选题]女性,42岁,阴道接触性出血10天。宫颈活检镜下示鳞状上皮增生,部分细胞异型,局限在宫颈上皮层的下1/3~2/3(如图所示),正确的诊断是()A . CINⅠ级B . CINⅡ级C . CINⅢ级D . 宫颈原位癌E . 宫颈鳞状上皮化生
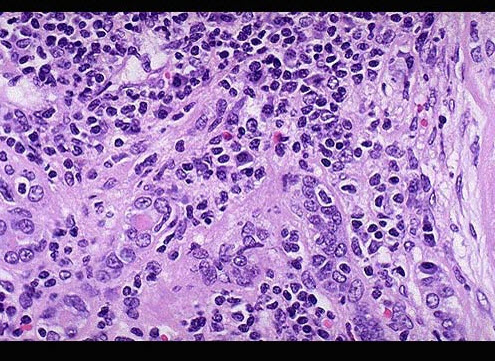
[单选题]女性,58岁,绝经后阴道不规则出血,行子宫切除手术,显微镜下见腺体结构少,实性巢状区占肿瘤部分70%,细胞异型性明显,核分裂像易见(如图)。应诊断为()A .子宫内膜腺癌Ⅰ级B .子宫内膜腺癌Ⅱ级C .子宫内膜腺癌Ⅲ级D .子宫内膜间质癌肉瘤E .子宫内膜腺肌瘤
[单选题]正常胃液显微镜检查,不应见到的是A.鳞状上皮细胞B.柱状上皮细胞C.载炭细胞D.红细胞E.白细胞
[单选题]女性,45岁,近两个月来性交接触性出血。阴道镜检查,子宫颈呈糜烂改变。活体病理检查:鳞状上皮内异型性上皮细胞占据上皮全层。病理诊断是( )。A.子宫
[单选题]痰标本的质量评价:(用显微镜筛选)在低倍镜下,检查鳞状上皮细胞,至少10个视野,集中在有白细胞处,合格标本为白细胞与鳞状上皮细胞比例大于A.2:1B.
[单选题]痰标本的质量评价:(用显微镜筛选)在低倍镜下,检查鳞状上皮细胞,至少10个视野,集中在有白细胞处,合格标本为白细胞与鳞状上皮细胞比例大于A.2∶1B.
[单选题]痰标本的质量评价:(用显微镜筛选)在低倍镜下,检查鳞状上皮细胞,至少10个视野,集中在有白细胞处,合格标本为白细胞与鳞状上皮细胞比例大于A.2:1B.
[单选题]痰标本的质量评价:(用显微镜筛选)在低倍镜下,检查鳞状上皮细胞,至少10个视野,集中在有白细胞处,合格标本为白细胞与鳞状上皮细胞比例大于A.2:1B.
[单选题]痰标本的质量评价:(用显微镜筛选)在低倍镜下,检查鳞状上皮细胞,至少10个视野,集中在有白细胞处,合格标本为白细胞与鳞状上皮细胞比例大于A.2:1B.