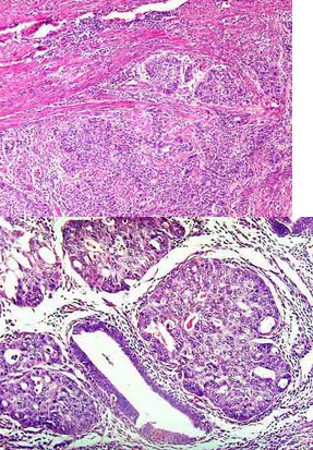
女性,58岁,绝经后阴道不规则出血,行子宫切除手术,显微镜下见腺体结构少,实性巢状区占肿瘤部分70%,细胞异型性明显,核分裂像易见(如图)。应诊断为()

A .子宫内膜腺癌Ⅰ级
B .子宫内膜腺癌Ⅱ级
C .子宫内膜腺癌Ⅲ级
D .子宫内膜间质癌肉瘤
E .子宫内膜腺肌瘤
[单选题]女性,55岁,绝经后阴道不规则出血。行子宫切除,显微镜下见腺体不规则,较多腺样结构,细胞异型,分化差,核分裂易见,可见片状实性区,占肿瘤部分的40%左右,(如图)。应诊断为()A . 子宫内膜腺癌Ⅰ级B . 子宫内膜腺癌Ⅱ级C . 子宫内膜腺癌Ⅲ级D . 子宫内膜间质癌肉瘤E . 子宫内膜腺肌瘤
[单选题]女性,55岁,绝经后阴道不规则出血。行子宫切除,显微镜下见腺体不规则,较多腺样结构,细胞异型,分化差,核分裂易见,可见片状实性区,占肿瘤部分的40%左
[单选题]女性,50岁,阴道不规则流血6月伴下腹疼痛半月余,行子宫切除,显微镜下见腺体较规则,出现背靠背及共壁现象,间质消失,细胞轻度异型,核分裂像少见,可见细胞成片的实性区,占肿瘤部分的2%左右(如图)。应诊断为()A . 子宫内膜腺癌Ⅰ级B . 子宫内膜腺癌Ⅱ级C . 子宫内膜腺癌Ⅲ级D . 子宫内膜间质癌肉瘤E . 子宫内膜腺肌瘤
[单选题]女性,46岁,阴道不规则出血1年,诊刮子宫内膜,显微镜下见腺体增生密集,与间质比>3:1,腺体呈乳头状,可见背靠背现象,伴嗜酸性粒细胞浸润,腺上皮异型性并见核仁(如图),应诊断为()A . 子宫内膜单纯性增生B . 子宫内膜复杂性增生C . 子宫内膜单纯性增生伴非典型增生D . 子宫内膜复杂性增生伴非典型增生E . 子宫内膜腺癌
[单选题]女性,64岁,绝经后阴道不规则流血伴下腹疼痛,取子宫内膜组织病检,显微镜下见腺上皮呈复层排列,部分筛孔状,细胞大小不一,核仁明显,核分裂像多见并可见坏死(如图),应诊断为()A . 子宫内膜单纯性增生B . 子宫内膜复杂性增生C . 宫内膜单纯性增生伴非典型增生D . 子宫内膜复杂性增生伴非典型增生E . 子宫内膜腺癌
[单选题]女性,30岁,月经量多不规则半年,诊刮子宫腔不平,显微镜下见子宫内膜腺体增生,与间质比>1:1,部分腺体囊状扩张,间质致密而富于细胞(如图),应诊断为()A . 子宫内膜单纯性增生B . 子宫内膜复杂性增生C . 子宫内膜单纯性增生伴非典型增生D . 子宫内膜复杂性增生伴非典型增生E . 子宫内膜腺癌
[单选题,A1型题] 患者,女,45岁,不规则阴道流血2个月,性交后出血,宫颈锥形切除术标本显微镜下可见低分化鳞状细胞癌,间质浸润深度2mm,宽度6mm。正确的分期为()。A . ⅠA1期B . ⅠA2期C . ⅠB1期D . ⅠB2期E . ⅡA期
[单选题]患者,女,45岁,不规则阴道流血2个月,性交后出血,宫颈锥形切除术标本显微镜下可见低分化鳞状细胞癌,间质浸润深度2mm,宽度6mm。正确的分期为A.ⅠA1期B.ⅠA2期C.ⅠB1期D.ⅠB2期E.ⅡA期
[单选题]女性,50岁,阴道不规则流血6月伴下腹疼痛半月余,行子宫切除,显微镜下见腺体较规则,出现背靠背及共壁现象,间质消失,细胞轻度异型,核分裂像少见,可见细
[单选题]女性,34岁,接触性出血一年余加重一周,行子宫切除,显微镜下见鳞状上皮细胞具异型性,异型细胞超过上皮全层2/3,但不及3/3。如图,应诊断为()A . CINⅠ级B . CINⅡ级C . CINⅢ级D . 原位癌E . 浸润癌