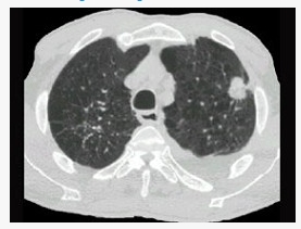
女,64岁,胸背疼痛一周,CT检查如图,最可能的诊断为()
A . 左上肺结核球
B . 左上肺周围型肺癌
C . 左上肺炎性假瘤
D . 左上肺单发性转移癌
E . 左上肺错构瘤
[单选题]女,64岁,胸背疼痛1周,CT检查如图,最可能的诊断为()A .右上肺结核球B .右上肺周围型肺癌C .右上肺炎性假瘤D .右上肺单发性转移癌E .右上肺错构瘤
[单选题]女,64岁,胸背疼痛1周,CT检查如图,最可能的诊断为()A.左上肺结核球B.左上肺周围型肺癌C.左上肺炎性假瘤D.左上肺单发性转移癌E.左上肺错构瘤
[单选题]女,64岁,胸背疼痛一周,CT检查如图,最可能的诊断为()A.右上肺结核球B.右上肺周围型肺癌C.右上肺炎性假瘤D.右上肺单发性转移癌E.右上肺错构瘤
[单选题]男,50岁,胸背剧痛一周余,CT如图,最可能的诊断是()A . 主动脉弓真性动脉瘤B . 主动脉弓假性动脉瘤C . 主动脉弓夹层动脉瘤D . 左上肺癌并侵犯主动脉弓部E . 纵隔肿瘤
[单选题]女,55岁,胸痛伴咯血丝痰一周,胸部CT如图,最可能的诊断为()A . 转移性肺癌B . 左侧周围型肺癌并肺内转移C . 左侧中央型肺癌并肺内转移D . 多发性肺脓肿E . 结节病
[单选题]男,50岁,胸背剧痛1周余,CT如图,最可能的诊断是() A . 主动脉弓真性动脉瘤B . 主动脉弓假性动脉瘤C . 主动脉弓夹层动脉瘤D . 左上肺癌并侵犯主动脉弓部E . 纵隔肿瘤
[单选题]男,50岁,胸背剧痛1周余,CT如图,最可能的诊断是()A .主动脉弓真性动脉瘤B .主动脉弓假性动脉瘤C .主动脉弓夹层动脉瘤D .左上肺癌并侵犯主动脉弓部E .纵隔肿瘤
[单选题]女性,64岁,一周前确诊为宫颈癌。超声检查如图,最可能的诊断是()A .子宫肌瘤B .宫腔积液C .子宫内膜癌D .子宫内膜炎E .正常声像图
[单选题]女,40岁,间断咯血一周,低热,行胸部CT扫描如图,选择最可能的诊断为()A . 肺结核B . 肺部感染C . 支气管扩张并感染D . 支气管囊肿并感染E . 肺脓肿
[单选题]男,40岁,胸背疼痛一周,消瘦一月,CT检查如图,最可能的诊断为()A.右下肺结核B.右下肺脓肿C.右下肺炎D.右下肺肺泡癌E.右下肺炎性假瘤