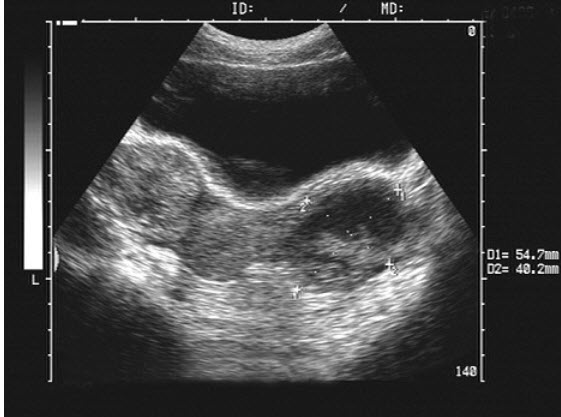
女性,29岁,人流术后三天,下腹疼痛。超声检查如图,最可能的诊断是()
A .炎性包块
B .黄体囊肿
C .盆腔血肿
D .囊腺瘤
E .畸胎瘤
[单选题]女性,44岁,取环术后下腹疼痛1天。B超检查如图,最可能的诊断为()A .子宫血肿B .盆腔血肿C .子宫肌瘤D .子宫腺肌瘤E .肌瘤囊变
[单选题]女性,44岁,取环术后下腹疼痛1天。B超检查如图,最可能的诊断为()A . 子宫血肿B . 盆腔血肿C . 子宫肌瘤D . 子宫腺肌瘤E . 肌瘤囊变
[单选题]女性,44岁,取环术后下腹疼痛1天。B超检查如图,最可能的诊断为()。A . 子宫血肿B . 盆腔血肿C . 子宫肌瘤D . 子宫腺肌瘤E . 肌瘤囊变
[单选题]女性,48岁,取环术后3天,述左下腹疼痛。B超检查如图,最可能的诊断为()A .畸胎瘤B .盆腔血肿C .子宫浆膜下肌瘤D .宫外孕E .附件囊肿
[单选题]女性,48岁,取环术后3天,述左下腹疼痛。B超检查如图,最可能的诊断为()A . 畸胎瘤B . 盆腔血肿C . 子宫浆膜下肌瘤D . 宫外孕E . 附件囊肿
[单选题]女性,48岁,取环术后3天,述左下腹疼痛。B超检查如图,最可能的诊断为()。A . 畸胎瘤B . 盆腔血肿C . 子宫浆膜下肌瘤D . 宫外孕E . 附件囊肿
[单选题]女性,29岁,停经28周,产前超声检查如图,最可能的诊断为()A .胎儿畸形,脑积水B .胎儿畸形,腹壁裂C .胎儿畸形,室间隔缺损D .胎儿畸形,无脑儿E .胎儿畸形,露脑畸形
[单选题]女性,29岁,停经28周,产前超声检查如图,最可能的诊断为()A . 胎儿畸形,脑积水B . 胎儿畸形,腹壁裂C . 胎儿畸形,室间隔缺损D . 胎儿畸形,无脑儿E . 胎儿畸形,露脑畸形
[单选题]女性,29岁,停经28周,产前超声检查如图,最可能的诊断为()。A . 胎儿畸形,脑积水B . 胎儿畸形,腹壁裂C . 胎儿畸形,室间隔缺损D . 胎儿畸形,无脑儿E . 胎儿畸形,露脑畸形
[单选题]女性,40岁,反复下腹部疼痛、白带异常3年余。超声检查如图,最可能的诊断为()A .输卵管积液B .囊腺瘤C .畸胎瘤D .子宫肌瘤E .附件囊肿