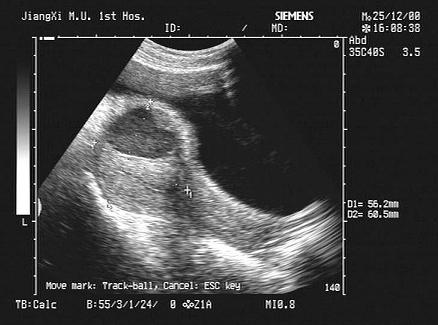
女性,44岁,取环术后下腹疼痛1天。B超检查如图,最可能的诊断为()
A .子宫血肿
B .盆腔血肿
C .子宫肌瘤
D .子宫腺肌瘤
E .肌瘤囊变
[单选题]女性,44岁,取环术后下腹疼痛1天。B超检查如图,最可能的诊断为()A . 子宫血肿B . 盆腔血肿C . 子宫肌瘤D . 子宫腺肌瘤E . 肌瘤囊变
[单选题]女性,44岁,取环术后下腹疼痛1天。B超检查如图,最可能的诊断为()。A . 子宫血肿B . 盆腔血肿C . 子宫肌瘤D . 子宫腺肌瘤E . 肌瘤囊变
[单选题]女性,48岁,取环术后3天,述左下腹疼痛。B超检查如图,最可能的诊断为()A .畸胎瘤B .盆腔血肿C .子宫浆膜下肌瘤D .宫外孕E .附件囊肿
[单选题]女性,48岁,取环术后3天,述左下腹疼痛。B超检查如图,最可能的诊断为()A . 畸胎瘤B . 盆腔血肿C . 子宫浆膜下肌瘤D . 宫外孕E . 附件囊肿
[单选题]女性,48岁,取环术后3天,述左下腹疼痛。B超检查如图,最可能的诊断为()。A . 畸胎瘤B . 盆腔血肿C . 子宫浆膜下肌瘤D . 宫外孕E . 附件囊肿
[单选题]女性,44岁,取环术后下腹疼痛1天。B超检查如图,最可能的诊断为()A.子宫血肿B.盆腔血肿C.子宫肌瘤D.子宫腺肌瘤E.肌瘤囊变
[单选题]女性,48岁,取环术后3天,述左下腹疼痛。B超检查如图,最可能的诊断为()A.畸胎瘤B.盆腔血肿C.子宫浆膜下肌瘤D.宫外孕E.附件囊肿
[单选题]女性,29岁,人流术后三天,下腹疼痛。超声检查如图,最可能的诊断是()A .炎性包块B .黄体囊肿C .盆腔血肿D .囊腺瘤E .畸胎瘤
[单选题]女性,32岁,停经45天,B超检查如图,最可能的诊断为()A .宫腔积液B .宫体肌瘤C .早期妊娠D .子宫粘膜下肌瘤E .卵巢囊肿
[单选题]女性,32岁,停经45天,B超检查如图,最可能的诊断为()A . 宫腔积液B . 宫体肌瘤C . 早期妊娠D . 子宫粘膜下肌瘤E . 卵巢囊肿