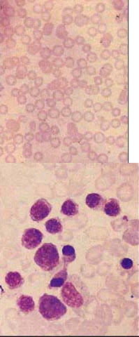
某患者血涂片和骨髓涂片分别见图,该患者可能为()

A .巨幼细胞贫血
B .再障
C .缺铁性贫血
D .慢性失血
E .急性失血
[多选题] 某患者血涂片见图1,骨髓涂片见图2,该患者可能为()A . 温抗体型自身免疫性溶血性贫血B . 巨幼细胞贫血C . 阵发性冷性血红蛋白尿症D . 遗传性球形红细胞增多症E . 铁粒幼细胞贫血
[多选题] 某患者血涂片见图1,骨髓涂片见图2,该患者可能为()A .温抗体型自身免疫性溶血性贫血B .巨幼细胞贫血C .阵发性冷性血红蛋白尿症D .遗传性球形红细胞增多症E .铁粒幼细胞贫血
[单选题]某患者血涂片和骨髓涂片分别见图,该患者可能为 ( )A.巨幼细胞贫血B.再障C.缺铁性贫血D.慢性失血E.急性失血
[多选题]某患者血涂片和骨髓涂片分别见图,该患者可能为()A.巨幼细胞贫血B.再障C.缺铁性贫血D.慢性失血E.急性失血
[多选题]某患者血涂片和骨髓涂片分别见图,该患者可能为()A.巨幼细胞贫血B.再障C.缺铁性贫血D.慢性失血E.急性失血
[多选题]某患者血涂片和骨髓涂片分别见图,该患者可能为()A.巨幼细胞贫血B.再障C.缺铁性贫血D.慢性失血E.急性失血
[多选题]某患者血涂片和骨髓涂片分别见图,该患者可能为()A.巨幼细胞贫血B.再障C.缺铁性贫血D.慢性失血E.急性失血
[多选题]某患者血涂片和骨髓涂片分别见图,该患者可能为()A.巨幼细胞贫血B.再障C.缺铁性贫血D.慢性失血E.急性失血
[多选题]某患者血涂片和骨髓涂片分别见图,该患者可能为()A.巨幼细胞贫血B.再障C.缺铁性贫血D.慢性失血E.急性失血
[多选题]某患者血涂片见图1,骨髓涂片见图2,该患者可能为()A.温抗体型自身免疫性溶血性贫血B.巨幼细胞贫血C.阵发性冷性血红蛋白尿症D.遗传性球形红细胞增多