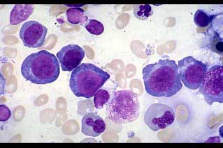
[单选题]

某患者外周血涂片如图1,骨髓涂片如图2,该患者最可能为哪种疾病()

A.PNH

B.缺铁性贫血

C.巨幼细胞性贫血

D.自身免疫性溶血性贫血

E.珠蛋白生成障碍性贫血

参考答案与解析:

相关试题

某患者外周血涂片如图1,骨髓涂片如图2,该患者最可能为哪种疾病()<img border="0" style="width: 236px; height: 200p

[单选题]某患者外周血涂片如图1,骨髓涂片如图2,该患者最可能为哪种疾病()A.PNHB.缺铁性贫血C.巨幼细胞性贫血D.自身免疫性溶血性贫血E.珠蛋白生成障碍

  • 查看答案
  • 某患者自幼贫血,脾肿大。外周血涂片如图1,骨髓涂片如图2,该患者可能为()<img border="0" style="width: 335px; height:

    [单选题]某患者自幼贫血,脾肿大。外周血涂片如图1,骨髓涂片如图2,该患者可能为()A.缺铁性贫血B.地中海贫血C.巨幼细胞贫血D.再障E.HbS病

  • 查看答案
  • 某患者自幼贫血,脾肿大。外周血涂片如图1,骨髓涂片如图2,该患者可能为()<img border="0" style="width: 335px; height:

    [单选题]某患者自幼贫血,脾肿大。外周血涂片如图1,骨髓涂片如图2,该患者可能为()A.缺铁性贫血B.地中海贫血C.巨幼细胞贫血D.再障E.HbS病

  • 查看答案
  • 某患者外周血涂片如图1,骨髓涂片如图2,该患者最可能为哪种疾病()

    [单选题]某患者外周血涂片如图1,骨髓涂片如图2,该患者最可能为哪种疾病()A . PNHB . 缺铁性贫血C . 巨幼细胞性贫血D . 自身免疫性溶血性贫血E . 珠蛋白生成障碍性贫血

  • 查看答案
  • 某患者外周血涂片如图1,骨髓涂片如图2,该患者最可能为哪种疾病()

    [单选题]某患者外周血涂片如图1,骨髓涂片如图2,该患者最可能为哪种疾病()A .PNHB .缺铁性贫血C .巨幼细胞性贫血D .自身免疫性溶血性贫血E .珠蛋白生成障碍性贫血

  • 查看答案
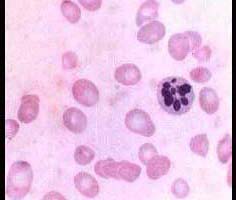
  • 某患者血涂片见图1,骨髓涂片见图2,该患者可能为()<img border="0" style="width: 179px; height: 222px;"

    [多选题]某患者血涂片见图1,骨髓涂片见图2,该患者可能为()A.温抗体型自身免疫性溶血性贫血B.巨幼细胞贫血C.阵发性冷性血红蛋白尿症D.遗传性球形红细胞增多

  • 查看答案
  • 某患者血涂片见图1,骨髓涂片见图2,该患者可能为()<img border="0" style="width: 179px; height: 222px;"

    [多选题]某患者血涂片见图1,骨髓涂片见图2,该患者可能为()A.温抗体型自身免疫性溶血性贫血B.巨幼细胞贫血C.阵发性冷性血红蛋白尿症D.遗传性球形红细胞增多

  • 查看答案
  • 某患者血涂片见图1,骨髓涂片见图2,该患者可能为()<img border="0" style="width: 179px; height: 222px;"

    [多选题]某患者血涂片见图1,骨髓涂片见图2,该患者可能为()A.温抗体型自身免疫性溶血性贫血B.巨幼细胞贫血C.阵发性冷性血红蛋白尿症D.遗传性球形红细胞增多

  • 查看答案
  • 某患者血涂片见图1,骨髓涂片见图2,该患者可能为()<img border="0" style="width: 179px; height: 222px;"

    [多选题]某患者血涂片见图1,骨髓涂片见图2,该患者可能为()A.温抗体型自身免疫性溶血性贫血B.巨幼细胞贫血C.阵发性冷性血红蛋白尿症D.遗传性球形红细胞增多

  • 查看答案
  • 某患者血涂片见图1,骨髓涂片见图2,该患者可能为()<img border="0" style="width: 179px; height: 222px;"

    [多选题]某患者血涂片见图1,骨髓涂片见图2,该患者可能为()A.温抗体型自身免疫性溶血性贫血B.巨幼细胞贫血C.阵发性冷性血红蛋白尿症D.遗传性球形红细胞增多

  • 查看答案
  • 某患者外周血涂片如图1,骨髓涂片如图2,该患者最可能为哪种疾病()<img border="0" style="width: 236px; height: 200p