

A.缺铁性贫血
B.地中海贫血
C.巨幼细胞贫血
D.再障
E.HbS病
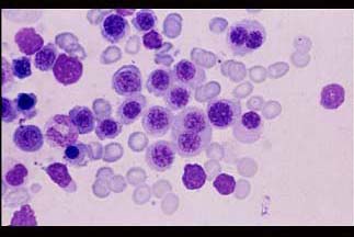
[单选题]某患者自幼贫血,脾肿大。外周血涂片如图1,骨髓涂片如图2,该患者可能为()A.缺铁性贫血B.地中海贫血C.巨幼细胞贫血D.再障E.HbS病
[单选题]某患者自幼贫血,脾肿大。外周血涂片如图1,骨髓涂片如图2,该患者可能为()A . 缺铁性贫血B . 地中海贫血C . 巨幼细胞贫血D . 再障E . HbS病
[单选题]某患者自幼贫血,脾肿大。外周血涂片如图1,骨髓涂片如图2,该患者可能为()A .缺铁性贫血B .地中海贫血C .巨幼细胞贫血D .再障E .HbS病
[单选题]某患者外周血涂片如图1,骨髓涂片如图2,该患者最可能为哪种疾病()A.PNHB.缺铁性贫血C.巨幼细胞性贫血D.自身免疫性溶血性贫血E.珠蛋白生成障碍
[单选题]某患者外周血涂片如图1,骨髓涂片如图2,该患者最可能为哪种疾病()A.PNHB.缺铁性贫血C.巨幼细胞性贫血D.自身免疫性溶血性贫血E.珠蛋白生成障碍
[多选题]某患者血涂片见图1,骨髓涂片见图2,该患者可能为()A.温抗体型自身免疫性溶血性贫血B.巨幼细胞贫血C.阵发性冷性血红蛋白尿症D.遗传性球形红细胞增多
[多选题]某患者血涂片见图1,骨髓涂片见图2,该患者可能为()A.温抗体型自身免疫性溶血性贫血B.巨幼细胞贫血C.阵发性冷性血红蛋白尿症D.遗传性球形红细胞增多
[多选题]某患者血涂片见图1,骨髓涂片见图2,该患者可能为()A.温抗体型自身免疫性溶血性贫血B.巨幼细胞贫血C.阵发性冷性血红蛋白尿症D.遗传性球形红细胞增多
[多选题]某患者血涂片见图1,骨髓涂片见图2,该患者可能为()A.温抗体型自身免疫性溶血性贫血B.巨幼细胞贫血C.阵发性冷性血红蛋白尿症D.遗传性球形红细胞增多
[多选题]某患者血涂片见图1,骨髓涂片见图2,该患者可能为()A.温抗体型自身免疫性溶血性贫血B.巨幼细胞贫血C.阵发性冷性血红蛋白尿症D.遗传性球形红细胞增多