

A.膀胱内血块
B.膀胱癌
C.膀胱结石
D.膀胱息肉
E.输尿管囊肿
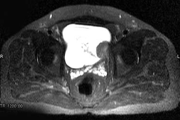
[单选题]男,59岁,血尿1个月,MRI检查如图所示。最可能的诊断是A.膀胱内血块B.膀胱癌C.膀胱结石D.膀胱息肉E.输尿管囊肿
[单选题]男,59岁,血尿1个月,MRI检查如图所示。最可能的诊断是A.膀胱内血块B.膀胱癌C.膀胱结石D.膀胱息肉E.输尿管囊肿
[单选题]男,59岁,血尿1个月,MRI检查如图所示。最可能的诊断是A.膀胱内血块B.膀胱癌C.膀胱结石D.膀胱息肉E.输尿管囊肿
[单选题]男,59岁,血尿1月,MRI检查如图所示。最可能的诊断是()A.膀胱内血块B.膀胱癌C.膀胱结石D.膀胱息肉E.输尿管囊肿
[单选题]男,59岁,血尿1个月,MRI检查如图所示。最可能的诊断是( )。图1图2A.膀胱内血块B.膀胱癌C.膀胱结石D.膀胱息肉E.输尿管囊肿
[单选题]肝脏声像图表现如图所示,最可能的诊断是A.原发性结节型肝癌B.肝血吸虫病C.结节性肝硬化D.多囊肝E.不均匀性脂肪肝
[单选题]女,23岁,闭经1年余,MRI检查如图,最可能的诊断为A.脑膜瘤B.表皮样囊肿C.颅咽管瘤D.蛛网膜囊肿E.垂体瘤
[单选题]患者男,59岁,咳嗽,咳痰,痰中带血2个月余,CT检查如图,最可能的诊断是A.肺结核B.中央型肺癌C.矽肺D.肺炎E.肺错构瘤
[单选题]患者男,59岁,咳嗽,咳痰,痰中带血2个月余,CT检查如图,最可能的诊断是A.肺结核B.中央型肺癌C.矽肺D.肺炎E.肺错构瘤
[单选题]如图,该病例最可能的诊断是A.主动脉窦瘤B.室间隔缺损C.右心室流出道狭窄D.室间隔膜部瘤并缺损E.房间隔缺损