
A.脑膜瘤
B.表皮样囊肿
C.颅咽管瘤
D.蛛网膜囊肿
E.垂体瘤
[单选题]胎儿超声检查如图,最可能的诊断是A.正常声像图B.淋巴管囊肿C.下腭裂D.唇裂E.以上腭裂
[单选题]男,59岁。血尿1个月。MRI检查如图所示。最可能的诊断是()A.膀胱内血块B.膀胱癌C.膀胱结石D.膀胱息肉E.输尿管囊肿
[单选题]A.4周B.1周C.3周D.2周E.5周
[单选题]本病最可能的诊断是A.线状IgA大疱性皮病B.获得性大疱性表皮松解症C.疱疹样皮炎D.大疱性类天疱疮E.寻常型天疱疮
[单选题]A.可乐定B.哌唑嗪C.酚妥拉明D.甲氧明E.育亨宾
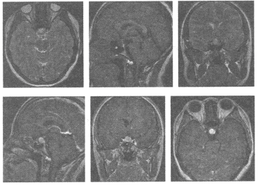
[单选题]女,9岁,视力下降1月余,CT检查如图,最可能的诊断为A.胶质瘤B.脑膜瘤C.脊索瘤D.垂体瘤E.颅咽管瘤
[单选题]成年男性,血尿伴排尿时尿流中断,超声检查如图,最可能的诊断为A.膀胱内凝血块B.膀胱结石C.膀胱肿瘤D.膀胱憩室E.腺性膀胱炎
[单选题]女,40岁,头晕头痛2年余,MRI检查如图,最可能的诊断为()A.海绵状血管瘤B.动静脉畸形C.毛细血管瘤D.毛细血管扩张症E.动脉瘤
[单选题]肝脏声像图表现如图所示,最可能的诊断是A.原发性结节型肝癌B.肝血吸虫病C.结节性肝硬化D.多囊肝E.不均匀性脂肪肝
[单选题]女,2岁,背部隐痛1月余,MRI检查如图,最可能的诊断是()A.脊膜瘤B.硬膜下脂肪瘤C.室管膜瘤D.星形细胞瘤E.脊髓转移瘤