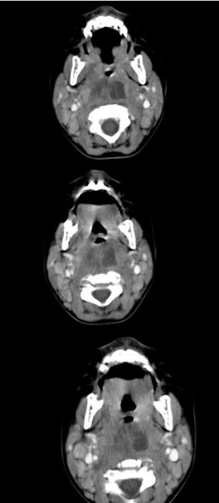
10个月大的婴儿,发热,曾患中耳炎,CT扫描如图所示,正确的描述或诊断是()
A .咽后壁软组织肿胀
B .其内密度不均
C .颈椎骨质未见明显异常
D .咽后壁脓肿
E .咽后壁寒性脓肿
[多选题] 10个月大的婴儿,发热,曾患中耳炎,CT扫描如图所示,正确的描述或诊断是()A . 咽后壁软组织肿胀B . 其内密度不均C . 颈椎骨质未见明显异常D . 咽后壁脓肿E . 咽后壁寒性脓肿
[多选题] 10个月大的婴儿,发热,曾患中耳炎,CT扫描如图所示,请选择正确的描述或诊断()A . 咽后壁软组织肿胀B . 其内密度不均C . 颈椎骨质未见明显异常D . 考虑为咽后壁脓肿E . 考虑为咽后壁寒性脓肿
[多选题] 10个月大的婴儿,发热,曾患中耳炎,CT扫描如图所示,请选择正确的描述或诊断()A .咽后壁软组织肿胀B .其内密度不均C .颈椎骨质未见明显异常D .考虑为咽后壁脓肿E .考虑为咽后壁寒性脓肿
[多选题]10个月大的婴儿,发热,曾患中耳炎,CT扫描如图所示,正确的描述或诊断是()A.咽后壁软组织肿胀B.其内密度不均C.颈椎骨质未见明显异常D.咽后壁脓肿
[多选题]10个月大的婴儿,发热,曾患中耳炎,CT扫描如图所示,正确的描述或诊断是()A.咽后壁软组织肿胀B.其内密度不均C.颈椎骨质未见明显异常D.咽后壁脓肿
[多选题]10个月大的婴儿,发热,曾患中耳炎,CT扫描如图所示,正确的描述或诊断是()A.咽后壁软组织肿胀B.其内密度不均C.颈椎骨质未见明显异常D.咽后壁脓肿
[多选题]10个月大的婴儿,发热,曾患中耳炎,CT扫描如图所示,请选择正确的描述或诊断()A.咽后壁软组织肿胀B.其内密度不均C.颈椎骨质未见明显异常D.考虑为
[多选题]10个月大的婴儿,发热,曾患中耳炎,CT扫描如图所示,请选择正确的描述或诊断()A.咽后壁软组织肿胀B.其内密度不均C.颈椎骨质未见明显异常D.考虑为
[单选题]女,46岁,自述左眼视物不清约3个月, CT扫描如图所示,正确的描述或诊断是A.双侧眼球未见病变B.左侧玻璃体内偏后方见絮状高密度影C.双侧眼环形态密度正常D.考虑视网膜脱离E.考虑玻璃体内出血
[多选题] 男,70岁,右侧颈部无痛性肿块3个月,CT扫描如图所示,正确的描述或诊断是()A . 右侧颈动脉间隙内见类圆形软组织肿块影,密度欠均匀,边缘光整B . 右侧颈静脉被推压至肿块外后方C . 右侧颈动脉被推压至肿块内后方D . 迷走神经源性肿瘤E . 交感神经源性肿瘤