

A.咽后壁软组织肿胀
B.其内密度不均
C.颈椎骨质未见明显异常
D.考虑为咽后壁脓肿
E.考虑为咽后壁寒性脓肿
[多选题]10个月大的婴儿,发热,曾患中耳炎,CT扫描如图所示,请选择正确的描述或诊断()A.咽后壁软组织肿胀B.其内密度不均C.颈椎骨质未见明显异常D.考虑为
[多选题]10个月大的婴儿,发热,曾患中耳炎,CT扫描如图所示,正确的描述或诊断是()A.咽后壁软组织肿胀B.其内密度不均C.颈椎骨质未见明显异常D.咽后壁脓肿
[多选题]10个月大的婴儿,发热,曾患中耳炎,CT扫描如图所示,正确的描述或诊断是()A.咽后壁软组织肿胀B.其内密度不均C.颈椎骨质未见明显异常D.咽后壁脓肿
[多选题]10个月大的婴儿,发热,曾患中耳炎,CT扫描如图所示,正确的描述或诊断是()A.咽后壁软组织肿胀B.其内密度不均C.颈椎骨质未见明显异常D.咽后壁脓肿
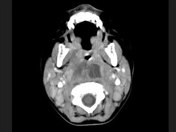
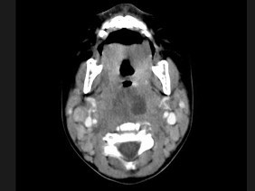
[多选题] 10个月大的婴儿,发热,曾患中耳炎,CT扫描如图所示,请选择正确的描述或诊断()A . 咽后壁软组织肿胀B . 其内密度不均C . 颈椎骨质未见明显异常D . 考虑为咽后壁脓肿E . 考虑为咽后壁寒性脓肿
[多选题] 10个月大的婴儿,发热,曾患中耳炎,CT扫描如图所示,请选择正确的描述或诊断()A .咽后壁软组织肿胀B .其内密度不均C .颈椎骨质未见明显异常D .考虑为咽后壁脓肿E .考虑为咽后壁寒性脓肿
[多选题] 10个月大的婴儿,发热,曾患中耳炎,CT扫描如图所示,正确的描述或诊断是()A . 咽后壁软组织肿胀B . 其内密度不均C . 颈椎骨质未见明显异常D . 咽后壁脓肿E . 咽后壁寒性脓肿
[多选题] 10个月大的婴儿,发热,曾患中耳炎,CT扫描如图所示,正确的描述或诊断是()A .咽后壁软组织肿胀B .其内密度不均C .颈椎骨质未见明显异常D .咽后壁脓肿E .咽后壁寒性脓肿
[单选题]超声检查如图所示,该病例最可能诊断()A.肾多囊性发育异常B.肾肿瘤C.肾囊肿D.多囊肿E.肾局限性积水
[单选题]女性,50岁,右鼻塞、脓涕3个月,CT、MRI检查如图所示,请选择正确的答案()A.右侧上颌窦黏液囊肿B.右侧上颌窦粘膜下囊肿C.右侧上颌窦积液D.右