


A.咽后壁软组织肿胀
B.其内密度不均
C.颈椎骨质未见明显异常
D.咽后壁脓肿
E.咽后壁寒性脓肿
[多选题]10个月大的婴儿,发热,曾患中耳炎,CT扫描如图所示,正确的描述或诊断是()A.咽后壁软组织肿胀B.其内密度不均C.颈椎骨质未见明显异常D.咽后壁脓肿
[多选题]10个月大的婴儿,发热,曾患中耳炎,CT扫描如图所示,正确的描述或诊断是()A.咽后壁软组织肿胀B.其内密度不均C.颈椎骨质未见明显异常D.咽后壁脓肿
[多选题]10个月大的婴儿,发热,曾患中耳炎,CT扫描如图所示,请选择正确的描述或诊断()A.咽后壁软组织肿胀B.其内密度不均C.颈椎骨质未见明显异常D.考虑为
[多选题]10个月大的婴儿,发热,曾患中耳炎,CT扫描如图所示,请选择正确的描述或诊断()A.咽后壁软组织肿胀B.其内密度不均C.颈椎骨质未见明显异常D.考虑为
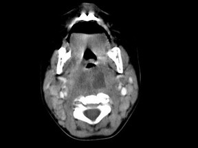
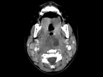
[多选题] 10个月大的婴儿,发热,曾患中耳炎,CT扫描如图所示,正确的描述或诊断是()A . 咽后壁软组织肿胀B . 其内密度不均C . 颈椎骨质未见明显异常D . 咽后壁脓肿E . 咽后壁寒性脓肿
[多选题] 10个月大的婴儿,发热,曾患中耳炎,CT扫描如图所示,正确的描述或诊断是()A .咽后壁软组织肿胀B .其内密度不均C .颈椎骨质未见明显异常D .咽后壁脓肿E .咽后壁寒性脓肿
[多选题] 10个月大的婴儿,发热,曾患中耳炎,CT扫描如图所示,请选择正确的描述或诊断()A . 咽后壁软组织肿胀B . 其内密度不均C . 颈椎骨质未见明显异常D . 考虑为咽后壁脓肿E . 考虑为咽后壁寒性脓肿
[多选题] 10个月大的婴儿,发热,曾患中耳炎,CT扫描如图所示,请选择正确的描述或诊断()A .咽后壁软组织肿胀B .其内密度不均C .颈椎骨质未见明显异常D .考虑为咽后壁脓肿E .考虑为咽后壁寒性脓肿
[单选题]如图所示,两个测压管液面()。A.相同B.不相同C.左侧高于右侧液面D.左侧低于右侧液面
[单选题]女,8岁,如图所示,最可能诊断为()A.左下肺不张B.左下肺隔离症C.左肺发育不全D.左下肺支气管扩张E.左下肺支气管囊肿