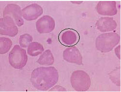
某患者贫血、脾肿大。如图,若外周血圈中所示红细胞占19%,最可能为()

A . 缺铁性贫血
B . 巨幼细胞性贫血
C . 再生障碍性贫血
D . 先天性球形红细胞增多症
E . 失血性贫血
[单选题]某患者贫血、脾肿大。如图,若外周血圈中所示红细胞占19%,最可能为()A .缺铁性贫血B .巨幼细胞性贫血C .再生障碍性贫血D .先天性球形红细胞增多症E .失血性贫血
[单选题]某患者贫血、脾肿大。如图,若外周血圈中所示红细胞占19%,最可能为()A.缺铁性贫血B.巨幼细胞性贫血C.再生障碍性贫血D.先天性球形红细胞增多症E.
[单选题]某患者贫血、脾肿大。如图,若外周血圈中所示红细胞占19%,最可能为()A.缺铁性贫血B.巨幼细胞性贫血C.再生障碍性贫血D.先天性球形红细胞增多症E.
[单选题]某患者自幼贫血,脾肿大。外周血涂片如图1,骨髓涂片如图2,该患者可能为()A .缺铁性贫血B .地中海贫血C .巨幼细胞贫血D .再障E .HbS病
[单选题]某患者自幼贫血,脾肿大。外周血涂片如图1,骨髓涂片如图2,该患者可能为()A . 缺铁性贫血B . 地中海贫血C . 巨幼细胞贫血D . 再障E . HbS病
[单选题]如图,若外周血圈中所示红细胞增多,最常见于()A . 白血病B . 缺铁性贫血C . 溶血性贫血D . 骨髓病性贫血E . 再生障碍性贫血
[单选题]如图,若外周血圈中所示红细胞增多,最常见于()A .白血病B .缺铁性贫血C .溶血性贫血D .骨髓病性贫血E .再生障碍性贫血
[单选题]如图,若圈中所示红细胞为12%,可排除哪种贫血()A . 不稳定血红蛋白病B . 再生障碍性贫血C . 遗传性球形红细胞增多症D . G-6-PD酶缺乏症E . 海洋性贫血
[单选题]如图,若圈中所示红细胞为12%,可排除哪种贫血()A .不稳定血红蛋白病B .再生障碍性贫血C .遗传性球形红细胞增多症D .G-6-PD酶缺乏症E .海洋性贫血
[单选题]如图,圈中所示红细胞中的异常结构为()A . 卡波环B . 嗜碱性点彩红细胞C . H-J小体D . 网织红细胞E . 疟原虫