


A.直肠息肉
B.直肠癌
C.直肠间质瘤
D.直肠转移瘤
E.直肠淋巴瘤
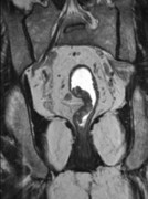
[单选题]男,70岁,下腹部腹胀、腹痛、排便困难,逐渐加重,MRI示直肠内不规则充盈缺损,请选择最佳诊断结果()A.直肠息肉B.直肠癌C.直肠间质瘤D.直肠转移
[单选题]男,70岁,下腹部腹胀、腹痛、排便困难,逐渐加重,MRI示直肠内不规则充盈缺损,最可能的诊断是A.直肠息肉B.直肠癌C.直肠间质瘤D.直肠转移癌E.直
[单选题]男,70岁,下腹部腹胀、腹痛、排便困难,逐渐加重,MRI示直肠内不规则充盈缺损,最可能的诊断是A.直肠息肉B.直肠癌C.直肠间质瘤D.直肠转移癌E.直
[单选题]男,70岁,下腹部腹胀、腹痛、排便困难,逐渐加重,MRI示直肠内不规则充盈缺损,最可能的诊断是A.直肠息肉B.直肠癌C.直肠间质瘤D.直肠转移癌E.直
[单选题]男,70岁,下腹部腹胀、腹痛、排便困难,逐渐加重,MRI示直肠内不规则充盈缺损,最可能的诊断是A.直肠息肉B.直肠癌C.直肠间质瘤D.直肠转移癌E.直肠淋巴瘤
[单选题]男,70岁,下腹部腹胀、腹痛、排便困难,逐渐加重,MRI示直肠内不规则充盈缺损,最可能的诊断是()A .直肠息肉B .直肠癌C .直肠间质瘤D .直肠转移癌E .直肠淋巴瘤
[单选题]男,21岁,下腹部一囊性肿块,无压痛,请结合图像,选择最可能诊断()A.盆腔脓肿B.结肠重复畸形囊肿C.神经纤维瘤D.神经鞘瘤E.间质瘤
[单选题]患者 男,38岁,感觉左髋部疼痛,并逐渐加重,体检:左髋部明显肿胀压痛,无明显发热,请选择最佳诊断()A.骨巨细胞瘤B.纤维肉瘤C.骨肉瘤D.软骨肉瘤
[单选题]女,40岁,下腹部隐痛、腹胀伴阴道不规则出血1年余,B超检查提示盆腔包块,CT检查如图,下列可能的诊断是A.卵巢畸胎瘤B.卵巢囊肿C.卵巢囊腺瘤D.卵
[单选题]男,70岁,右下腹胀,腹痛,腹泻,影像检查如图,最可能的诊断是()A.结肠克隆恩病B.结肠癌C.结肠套叠D.结肠结核E.结肠淋巴瘤