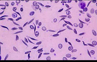
外周血涂片如图,该患者可能为下列何种疾病()

A .口形红细胞增多症
B .遗传性球形红细胞增多症
C .缺铁性贫血
D .再障
E .HbS病
[单选题]外周血涂片如图,该患者可能为下列何种疾病()A . 口形红细胞增多症B . 遗传性球形红细胞增多症C . 缺铁性贫血D . 再障E . HbS病
[单选题]某患者外周血涂片如图1,骨髓涂片如图2,该患者最可能为哪种疾病()A . PNHB . 缺铁性贫血C . 巨幼细胞性贫血D . 自身免疫性溶血性贫血E . 珠蛋白生成障碍性贫血
[单选题]某患者外周血涂片如图1,骨髓涂片如图2,该患者最可能为哪种疾病()A .PNHB .缺铁性贫血C .巨幼细胞性贫血D .自身免疫性溶血性贫血E .珠蛋白生成障碍性贫血
[单选题]某患者自幼贫血,脾肿大。外周血涂片如图1,骨髓涂片如图2,该患者可能为()A . 缺铁性贫血B . 地中海贫血C . 巨幼细胞贫血D . 再障E . HbS病
[单选题]某患者自幼贫血,脾肿大。外周血涂片如图1,骨髓涂片如图2,该患者可能为()A .缺铁性贫血B .地中海贫血C .巨幼细胞贫血D .再障E .HbS病
[单选题]某患者外周血涂片如图1,骨髓涂片如图2,该患者最可能为哪种疾病()A.PNHB.缺铁性贫血C.巨幼细胞性贫血D.自身免疫性溶血性贫血E.珠蛋白生成障碍
[单选题]某患者外周血涂片如图1,骨髓涂片如图2,该患者最可能为哪种疾病()A.PNHB.缺铁性贫血C.巨幼细胞性贫血D.自身免疫性溶血性贫血E.珠蛋白生成障碍
[单选题]某患者自幼贫血,脾肿大。外周血涂片如图1,骨髓涂片如图2,该患者可能为()A.缺铁性贫血B.地中海贫血C.巨幼细胞贫血D.再障E.HbS病
[单选题]某患者自幼贫血,脾肿大。外周血涂片如图1,骨髓涂片如图2,该患者可能为()A.缺铁性贫血B.地中海贫血C.巨幼细胞贫血D.再障E.HbS病
[多选题] 如图外周血涂片所指细胞可见于下列哪些疾病()A .骨髓纤维化B .溶血性贫血C .急性粒细胞白血病D .缺铁性贫血E .海洋性贫血