

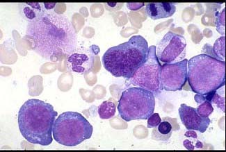
A.该患者为大细胞正色素性贫血
B.MCV升高,MCH升高,MCHC正常,RDW升高
C.这类贫血患者血涂片上可见点彩红细胞、H-J小体及有核红细胞
D.细胞内外铁均增高
E.白细胞数正常或减低
[多选题]某贫血患者的血涂片、骨髓涂片、PAS染色分别如图所示,下列说法正确的是()A.该患者为大细胞正色素性贫血B.MCV升高,MCH升高,MCHC正常,RD
[多选题] 某贫血患者的血涂片、骨髓涂片、PAS染色分别如图所示,下列说法正确的是()A . 该患者为大细胞正色素性贫血B . MCV升高,MCH升高,MCHC正常,RDW升高C . 这类贫血患者血涂片上可见点彩红细胞、H-J小体及有核红细胞D . 细胞内外铁均增高E . 白细胞数正常或减低
[多选题] 某贫血患者的血涂片、骨髓涂片、PAS染色分别如图所示,下列说法正确的是()A .该患者为大细胞正色素性贫血B .MCV升高,MCH升高,MCHC正常,RDW升高C .这类贫血患者血涂片上可见点彩红细胞、H-J小体及有核红细胞D .细胞内外铁均增高E .白细胞数正常或减低
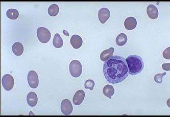
[多选题]某患者血涂片和骨髓涂片分别见图,该患者可能为()A.巨幼细胞贫血B.再障C.缺铁性贫血D.慢性失血E.急性失血
[多选题]某患者血涂片和骨髓涂片分别见图,该患者可能为()A.巨幼细胞贫血B.再障C.缺铁性贫血D.慢性失血E.急性失血
[多选题]某患者血涂片和骨髓涂片分别见图,该患者可能为()A.巨幼细胞贫血B.再障C.缺铁性贫血D.慢性失血E.急性失血
[多选题]某患者血涂片和骨髓涂片分别见图,该患者可能为()A.巨幼细胞贫血B.再障C.缺铁性贫血D.慢性失血E.急性失血
[多选题]某患者血涂片和骨髓涂片分别见图,该患者可能为()A.巨幼细胞贫血B.再障C.缺铁性贫血D.慢性失血E.急性失血
[多选题]某患者血涂片和骨髓涂片分别见图,该患者可能为()A.巨幼细胞贫血B.再障C.缺铁性贫血D.慢性失血E.急性失血
[单选题]如图所示,该病例的鉴别诊断包括()A.淋巴瘤B.硬纤维瘤C.肉瘤D.以上都是E.以上都不是